مجمع الدكتور عبدالسلام عواس لتقويم وزراعة الأسنان

خدمات يقدمها المجمع

صور داخلية للمجمع

صور داخلية
صور داخلية
صور داخلية

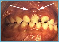
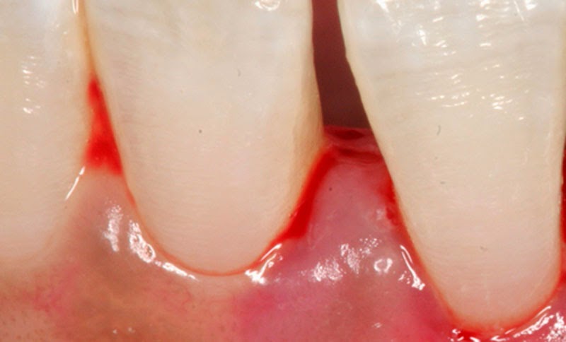
حالات قبل وبعد

معلومات طبية

اخبار المجمع